福富歯科クリニック

矯正歯科 歯列矯正web-[反対咬合の外科矯正治療症例]相模原市 歯科

福富歯科クリニック 福富歯科クリニック
矯正歯科 歯列矯正 ウェブ 矯正歯科 歯列矯正web 福富歯科クリニック
MAIL 福富歯科クリニック
福富歯科クリニック 福富歯科クリニック
福富歯科クリニック 福富歯科クリニック 福富歯科クリニック
福富歯科クリニック 福富歯科クリニック 福富歯科クリニック 福富歯科クリニック
福富歯科クリニック
福富歯科クリニック
福富歯科クリニック
福富歯科クリニック 矯正歯科(歯列矯正)
ってなに?
福富歯科クリニック
福富歯科クリニック
福富歯科クリニック 不正咬合(歯列不正)の
代表的な例
福富歯科クリニック
福富歯科クリニック 福富歯科クリニック 福富歯科クリニック
福富歯科クリニック
福富歯科クリニック 凸凹の歯並び、八重歯、
乱ぐい歯(叢生)
福富歯科クリニック 出っ歯(上顎前突)
福富歯科クリニック 受け口
(反対咬合、下顎前突)
福富歯科クリニック 深い噛み合わせ(過蓋咬合)
福富歯科クリニック 前歯が噛み合わない(開咬)
福富歯科クリニック 手術が必要な顎変形症
外科矯正)
福富歯科クリニック
福富歯科クリニック 福富歯科クリニック 福富歯科クリニック
福富歯科クリニック
福富歯科クリニック 成人の矯正歯科 福富歯科クリニック
福富歯科クリニック 福富歯科クリニック 福富歯科クリニック
福富歯科クリニック
福富歯科クリニック 反対咬合の矯正治療症例
福富歯科クリニック インプラント矯正
福富歯科クリニック エステティックライン
(E-ライン)
福富歯科クリニック 頭部X線規格写真
(セファログラム)
福富歯科クリニック
福富歯科クリニック 福富歯科クリニック 福富歯科クリニック
福富歯科クリニック
福富歯科クリニック こどもの矯正歯科 福富歯科クリニック
福富歯科クリニック 福富歯科クリニック 福富歯科クリニック
福富歯科クリニック
福富歯科クリニック 下顎後退症例
福富歯科クリニック 急速拡大法
福富歯科クリニック 緩徐拡大法
福富歯科クリニック 頭部X線規格写真
(セファログラム)
福富歯科クリニック 歯が生えるのっていつ?
福富歯科クリニック 乳歯の虫歯を放っておくとA
福富歯科クリニック
福富歯科クリニック 福富歯科クリニック 福富歯科クリニック
福富歯科クリニック
福富歯科クリニック 部分的な矯正歯科治療 福富歯科クリニック
福富歯科クリニック 福富歯科クリニック 福富歯科クリニック
福富歯科クリニック
福富歯科クリニック 歯を失って放っておくと…
福富歯科クリニック 被せ物を難しくする理由
福富歯科クリニック
福富歯科クリニック 福富歯科クリニック 福富歯科クリニック
福富歯科クリニック
福富歯科クリニック 歯周病の方の矯正歯科治療 福富歯科クリニック
福富歯科クリニック 福富歯科クリニック 福富歯科クリニック
福富歯科クリニック 矯正歯科装置の種類 福富歯科クリニック
福富歯科クリニック 福富歯科クリニック 福富歯科クリニック
福富歯科クリニック マウスピース矯正 福富歯科クリニック
福富歯科クリニック 福富歯科クリニック 福富歯科クリニック
福富歯科クリニック 矯正歯科治療の進め方 福富歯科クリニック
福富歯科クリニック 福富歯科クリニック 福富歯科クリニック
福富歯科クリニック 矯正歯科治療の料金について 福富歯科クリニック
福富歯科クリニック 福富歯科クリニック 福富歯科クリニック
福富歯科クリニック 相互リンク 福富歯科クリニック
福富歯科クリニック 福富歯科クリニック 福富歯科クリニック
福富歯科クリニック
福富歯科クリニック お問い合わせ 福富歯科クリニック
福富歯科クリニック 福富歯科クリニック 福富歯科クリニック
福富歯科クリニック 歯周病 歯槽膿漏 web 福富歯科クリニック
福富歯科クリニック 福富歯科クリニック 福富歯科クリニック
福富歯科クリニック インプラント web 福富歯科クリニック
福富歯科クリニック 福富歯科クリニック 福富歯科クリニック
福富歯科クリニック 矯正歯科 歯列矯正 web 福富歯科クリニック
福富歯科クリニック 福富歯科クリニック 福富歯科クリニック
福富歯科クリニック 審美歯科 ホワイトニングweb 福富歯科クリニック
福富歯科クリニック 福富歯科クリニック 福富歯科クリニック
福富歯科クリニック 福富歯科クリニック(相模原) 福富歯科クリニック
福富歯科クリニック 福富歯科クリニック 福富歯科クリニック
福富歯科クリニック
  福富歯科クリニック  
福富歯科クリニック 福富歯科クリニック 福富歯科クリニック
福富歯科クリニック

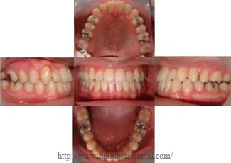
成人矯正/反対咬合の外科矯正治療症例

福富歯科クリニック
福富歯科クリニック 福富歯科クリニック 福富歯科クリニック
福富歯科クリニック
治療前
福富歯科クリニック
福富歯科クリニック
 
治療後
福富歯科クリニック
 
福富歯科クリニック
  下顎が上顎に対して大きいので外科治療を併用しました。
治療前の歯並びでは一生涯自分の歯で噛むことは難しいでしょう。
福富歯科クリニック
治療前 福富歯科クリニック 治療後
福富歯科クリニック
福富歯科クリニック Copyright (c) Fukutomi Dentistry clinic All Right Reserved.